

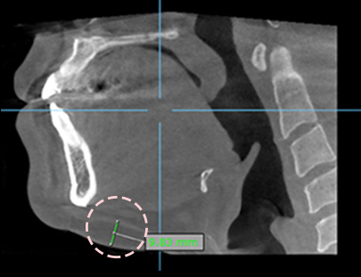
3D-CT로 눈으로 보는 지방량
LSSA 초음파로 섬세한 지방 타겟팅

나만 알 수 있는 V라인,

목과 턱의 경계가 없어,

BEFORE

AFTER 3개월

BEFORE

AFTER 3개월

BEFORE

AFTER 3개월
3D-CT 촬영 후
상담을 진행하여
지방 부위를 보다
명확하게 체크
초음파 진동으로
지방 세포만
타겟팅하여
부드럽게
주사 바늘 사이즈
니들로 절개 없이,
흉터 걱정은 적게
페이스 전용
핸드피스로
높은 출력
신경손상 및
울퉁불퉁 부작용
거의 없이
수술 후
눈에 보여지는
라인 변화

vs

붓기, 멍 있음
2주 정도 회복 기간 필요
미세한 붓기로
비교적 빠른 일상생활 가능
울퉁불퉁한 라인
단단하게 잡히는 뭉친 지방
바이오본드가 적어
상대적으로 매끄러워지는 라인
지방, 주변 조직
손상 위험 있음
지방만 선택적으로 흡입하여
주변 손상 거의 없음
주변 손상은 적게, 부드럽게 흡입되는 지방
수술 후 회복 기간 단축
수술 직후에도 선명하게 보여지는 V라인

· 주사 바늘 사이즈 초음파 팁으로 절개 없이 부드럽게 녹이는 기술
· 주변 조직 손상 거의 없이 지방을 유화시켜 비교적 간단한 라인 변화
· 아주 작은 0.9mm 직경 팁으로 얼굴 지방만을 타겟하여 제거
· 상대적으로 적은 출혈, 붓기, 멍, 통증
· 20분 내외로 짧아진 시술 시간
· 지방량, 근육 위치, 피부 탄력을 고려한 라인 교정


절개가 필요 없이 주사 바늘 정도의 니들을 통해
지방을 부드럽게 녹여서 흡입하기에 흉터에 대한 고민을 줄일 수 있습니다.

에이탑의 얼굴지방흡입은 다양한 노하우를 보유하고 있어
높은 기술력으로 이중턱 근육 안쪽 지방까지 제거하여
흡입의 효과를 더욱 또렷하게 하며 오래 유지될 수 있도록 합니다.


근육 안쪽 지방까지
제거하여
더욱 확실한 V라인
미세 초음파로
통증, 멍, 부기
상대적으로 적음!
지방흡입 후에도
과도하게
떨어지지 않는 탄력
수술없이 비교적
빠르고 간단하게
작은 얼굴 고민 해결!


에이탑은 매 순간 최악의 상황이 발생할 수 있음을
인지합니다. 간단한 수술이라 할지라도 방심하지 않으며
다양한 검진 시스템과 안전하고 철저한 수술 시스템으로
안전에 대해 늘 주의를 기울입니다.
많은 수술을 한다고 해서 만족도가 높아지는 것은 아닙니다.
에이탑은 환자의 상태에 맞는 필요한 수술만
제안을 해드리고 있으며 과도한 진료는 하지 않습니다.
더불어 효과가 없는 시술 또한 권하지 않습니다.
수술 전 면밀한 상담, 수술 계획부터 경과 관리까지
집도의가 책임지고 진행합니다.
셰도우 닥터, 에이탑에는 존재하지 않습니다.
환자마다 수술 결과에 대한 차이가 발생할 수 있습니다.
에이탑은 환자 개인의 상태에 맞는 집중 케어 프로그램을
제공하여 조금 더 좋은 결과를 볼 수 있도록 합니다.
에이탑성형외과 3D CT FIT 얼굴지방흡입
에이탑성형외과 얼굴지방흡입은 단순히 만져지는 느낌에 따라 빼는 지방흡입이 아니라 3D CT롤 확인하고 근육 안쪽가지 제대로 빼는 수술입니다. 에이탑은 얼굴지방흡입의 다양한 노하우를 보유하고 있어 높은 기술력으로 근육층 안에 있는 지방까지 제거하여 흡입의 효과를 더욱 또렷하게 하며 오래 유지될 수 있도록 합니다.
시각장애인을 위한 텍스트 정보 영역입니다.